흔히 풍치라 알고 있는 치주염은 우리나라에서 발병하는 주요 질병가운데 2위를 차지할 만큼 흔한 질환으로 장년층이나 노년층에서의 발생 빈도가 높습니다. 관리를 게을리하면 잇몸뼈가 녹아내려 치아가 흔들리게 되고 결국 발치해야 하는 상황이 일어날뿐더러, 전신 건강에도 악영향을 끼치게 됩니다. 치주염의 원인이 되는 세균이 혈관과 신경을 통해 우리 몸을 돌아다니며 심장질환, 혈관질환, 당뇨, 폐렴, 치매등 에도 영향을 끼치고, 나아가 암 발병률도 두 배 이상 증가시킨다는 연구결과가 있는 것처럼 각별한 관리가 필요합니다.

1. 치주염이란?
치아를 감싸고 있는 주위 조직인 치은(잇몸)과, 치조골(잇몸뼈)이 염증으로 인해 파괴되는 질환을 말합니다. 진행 정도에 따라 칫솔질과 치석제거로 관리가 가능 할 수도, 발치를 해야 할 상황을 생길 수도 있습니다. 잇몸 염증의 단계에 따라 치은염과 치주염, 발병 속도에 따라 만성과 급성으로 나누게 됩니다.
2. 치주염의 원인
음식물을 섭취하고 나면 음식물 찌꺼기인 치태(프라그)와 세균이 칼슘 성분과 결합하면서 치석이 형성되는데 이로 인해 치주낭(잇몸골짜기)가 생기고 치조골이 파괴되면서 잇몸병의 증상이 나타나게 됩니다. 치주염의 원인으로는 부정교합, 흡연, 스트레스, 잘못된 보철물, 이갈이, 이를 악물거나 혀 내미는 등의 나쁜 습관, 약물 복용 호르몬의 변화 등 많은 요소가 있습니다. 또한 당뇨병이나 심혈관 질환, 임신이나 영양 이상 등과 같은 전신적인 질환에 의해서도 발병이 되기도 합니다. 일부는 유전적 원인을 보이기도 하여 부모에게 세균이 있으면 자녀도 세균반응이 더 빨라져 일찍 치아를 상실할 수도 있습니다.
3. 증상
-칫솔질 할 때 잇몸에서 피가 나요.
-잇몸이 간질간질 해요.
-치아에 힘이 없어 음식 씹기가 힘들어요.
-잇몸이 들뜬 느낌이 나요.
-입 냄새가 심해요.
-잇몸이 부었어요.
-어느새 치아 사이가 벌어졌어요.
-치아가 흔들려요.
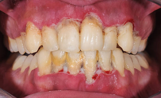
4. 진행 과정
-치은염 : 잇몸이 붓기 시작하고 칫솔질할 때 피가 납니다.
-초기 치주염 : 잇몸이 붓고 들뜬 느낌이 나고 빨갛게 붉어지고 건드리면 피가 납니다.
-중기 치주염 : 잇몸이 내려가고 이 사이가 벌어지며 치아가 약간씩 흔들리기 시작합니다.
-진행된 치주염 : 잇몸이 심하게 내려가서 치아 뿌리가 보이고 치아 사이가 벌어지며 흔들립니다.

5. 치주염의 치료
단계에 따라 치료하는 방법이 다른데, 만성 단순 변연부치주염은 스케일링(치석 제거)을 통해 치태와 치석을 제거하여 치료합니다. 만성 단순/복합 치주염의 경우에는 스켈링을 비롯하여 잇몸에 부분적으로 마취하여 염증부위를 긁어내는 식의 추가적으로 치료가 필요하며, 문제가 되는 치주낭 부분을 제거한 후 건강한 조직이 치아에 붙도록 유도하는 치료를 하기도 합니다. 만약 치주염이 심하다면 잇몸을 절개한 후 염증조직을 모두 제거하고 치조골이 재생될 수 있도록 치조골 이식수술을 시행하기도 하며, 항생제를 처방하고 치주낭부위에 항생 연고를 주입하기도 하며 느슨해진 치아를 고정하여 빠지지 않도록 치료합니다. 이렇게 노력을 기울였는데도 불구하고 계속 악화된다면 결국 치아를 상실할 수밖에 없습니다.

6. 합병증 및 주의사항
-치료 직 후 일시적으로 치아가 시리고 흔들리는 느낌을 받을 수 있습니다.
-치석으로 인해 잇몸이 내려앉고 잇몸이 다시 차오르지 않으므로 치아 사이에 공간이 생길 수 있습니다.
-출혈이나 통증, 감각 이상이 나타날 수 있으나 시간이 지나면서 서서히 사라집니다.
-치료 후 구강을 청결을 위해 구강청정제를 사용하면 도움이 됩니다.
-건강한 잇몸관리를 위해 하루 최소 3번의 양치질과 치실 사용, 워터픽 사용이 권장됩니다.
-3개월~6개월에 한 번씩 치과에 방문하여 주기적으로 스켈링을 받아 치석이 침착되지 않도록 합니다.
-흡연은 혈액순환을 원활하지 못하게 하여 잇몸이 퇴축퇴고 치아가 느슨해지게 만들기 때문에 줄이거나 금연하시는 게 좋습니다.
- 술은 직접적인 원인이 되진 않지만 충분한 수면을 취할 수 없기에 면역력이 떨어져 잇몸이 약해지게 됩니다. 결국은 면역력 저하로 인해 호르몬의 불균형을 초래할 수밖에 없어 금주하시는 게 좋습니다.
-스켈링 후 식사는 바로 드셔도 관계없으나 일시적으로 시린 증상이 있을 수 있어 차갑고 자극적인 음식은 피하시는 게 좋습니다. 마취 후 잇몸치료를 하셨다면 마취가 풀린 후 식사하시면 됩니다.
'치과에 관한 모든 것' 카테고리의 다른 글
| 틀니 적응기간, 틀니 종류 (0) | 2023.02.24 |
|---|---|
| 돌출입 진단 체크리스트(feat.주걱턱) (0) | 2023.02.22 |
| 사랑니 통증, 발치 후 식사, 술, 담배, 붓기, 운동 (0) | 2023.02.15 |
| 앞니 깨짐, 무삭제 라미네이트 적용가능한 케이스와 주의사항 (0) | 2023.02.14 |
| 알아두면 좋은 치과 질환과 진료 분과 (0) | 2023.02.12 |
댓글